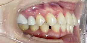
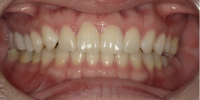
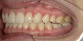
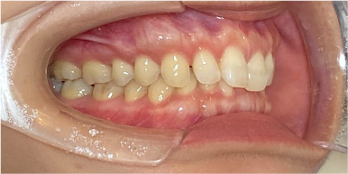
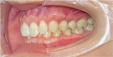
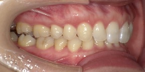
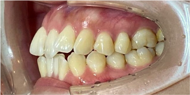
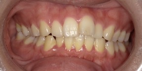
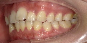
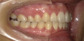
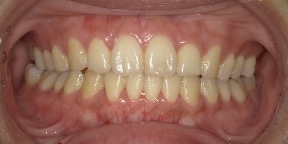
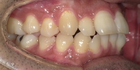
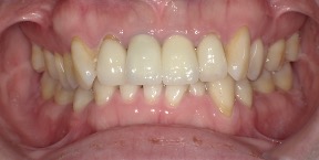
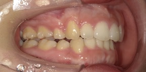
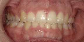
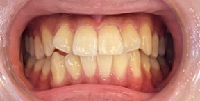
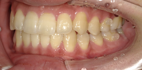
症例紹介
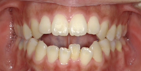
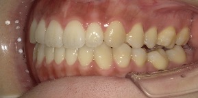
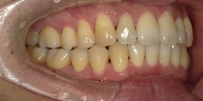
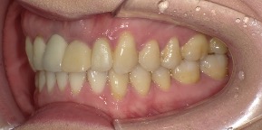
30歳女性のビフォーアフター







| 診断 | 叢生 |
|---|---|
| 治療方針 | 治療方針:インビザラインシステムにて主にIPR(歯と歯の間をわずかに削合してスペースを獲得する方法)を組み込んだ動的矯正治療を行い、叢生を改善後、保定を行う。 |
| 治療費 ※ | 96万5千円(診断、型取り、矯正中のメンテナンス、保定装置を含む料金) |
| 治療期間 | 1年8か月 |
| リスク | 1日20時間以上マウスピースを使用できない場合、歯が動かなかったり、想定しない誤差により不完全に終わる可能性がある。装着時や食事時に痛みを伴う。歯肉退縮や虫歯になるおそれがある。また、指導通りに装着できていない場合や適切なブラッシングが出来ていないとそのリスクが高くなる。歯根が短くなることがある。ごくまれに歯の神経が損傷してしまうことがある。過去にぶつけたり深い虫歯治療をしたことがあるとそのリスクはやや高くなる。矯正後には保定装置が必要。適切な使用ができない場合、後戻りの原因となる。将来的に歯並びが動いて再矯正が必要な場合がある。舌癖(舌で歯を押し出す癖)親知らずが正常に生えていない場合、その可能性がやや高くなる。 |
※ 治療費は、治療当時の費用で、現在の費用と異なる可能性があります。現在の費用は治療費のページでご確認くださいませ。
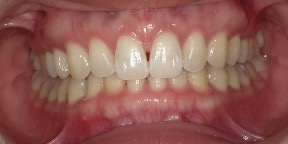
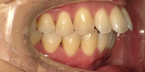
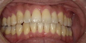
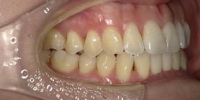
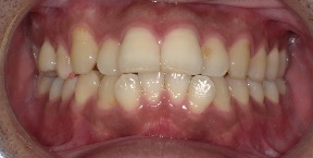
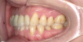
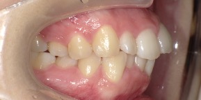
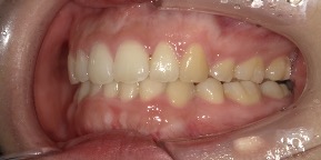
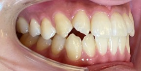
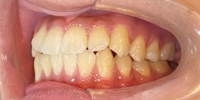
26歳女性のビフォーアフター







| 診断 | 空隙,叢生 |
|---|---|
| 治療方針 | 治療方針:前歯の咬合関係改善と空隙閉鎖を主な目的にて主にIPR(歯と歯の間をわずかに削合してスペースを獲得する方法)を組み込んだ動的矯正治療を行い、空隙、前歯咬合を改善後、保定を行う。臼歯部の咬合関係はプランの都合上維持することとした |
| 治療費 ※ | 69万8千円(診断、型取り、矯正中のメンテナンス、保定装置を含む料金) |
| 治療期間 | 1年8か月 |
| リスク | 1日20時間以上マウスピースを使用できない場合、歯が動かなかったり、想定しない誤差により不完全に終わる可能性がある。装着時や食事時に痛みを伴う。歯肉退縮や虫歯になるおそれがある。また、指導通りに装着できていない場合や適切なブラッシングが出来ていないとそのリスクが高くなる。歯根が短くなることがある。ごくまれに歯の神経が損傷してしまうことがある。過去にぶつけたり深い虫歯治療をしたことがあるとそのリスクはやや高くなる。矯正後には保定装置が必要。適切な使用ができない場合、後戻りの原因となる。将来的に歯並びが動いて再矯正が必要な場合がある。舌癖(舌で歯を押し出す癖)親知らずが正常に生えていない場合、その可能性がやや高くなる。 |
※ 治療費は、治療当時の費用で、現在の費用と異なる可能性があります。現在の費用は治療費のページでご確認くださいませ。
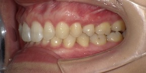
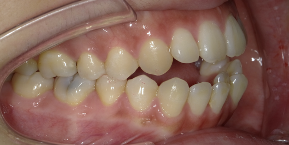
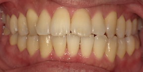
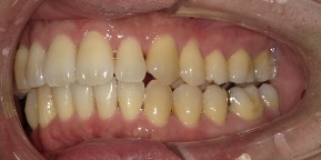
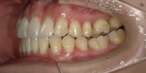
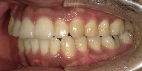
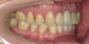
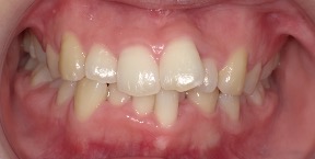
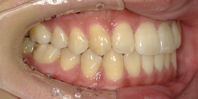
33歳女性のビフォーアフター







| 診断 | 空隙 |
|---|---|
| 治療方針 | 治療方針:前歯の咬合関係改善と空隙閉鎖を主な目的にて主にIPR(歯と歯の間をわずかに削合してスペースを獲得する方法)を組み込んだ動的矯正治療を行い、空隙、前歯咬合を改善後、保定を行う。臼歯部の咬合関係はプランの都合上維持することとした。 |
| 治療費 ※ | 67万8千円(診断、型取り、矯正中のメンテナンス、保定装置を含む料金) |
| 治療期間 | 6か月 |
| リスク | 1日20時間以上マウスピースを使用できない場合、歯が動かなかったり、想定しない誤差により不完全に終わる可能性がある。装着時や食事時に痛みを伴う。歯肉退縮や虫歯になるおそれがある。また、指導通りに装着できていない場合や適切なブラッシングが出来ていないとそのリスクが高くなる。歯根が短くなることがある。ごくまれに歯の神経が損傷してしまうことがある。過去にぶつけたり深い虫歯治療をしたことがあるとそのリスクはやや高くなる。矯正後には保定装置が必要。適切な使用ができない場合、後戻りの原因となる。将来的に歯並びが動いて再矯正が必要な場合がある。親知らずが正常に生えていない場合、その可能性がやや高くなる。 |
※ 治療費は、治療当時の費用で、現在の費用と異なる可能性があります。現在の費用は治療費のページでご確認くださいませ。
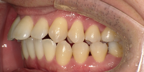
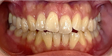
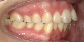
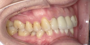
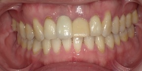
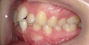
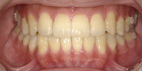
29歳女性のビフォーアフター







| 診断 | 叢生(デコボコがある状態)、過蓋咬合 |
|---|---|
| 治療方針 | インビザラインシステムにて主にIPR(歯と歯の間をわずかに削合してスペースを獲得する方法)を組み込んだ動的矯正治療を行い、叢生を改善後、保定を行う。臼歯部の咬合関係はプランの関係上維持して叢生と前歯部の咬合改善を目指した。 |
| 治療費 ※ | 60万4千円(診断、型取り、PMTC、保定装置を含む料金) |
| 治療期間 | 1年5か月 |
| リスク | 1日20時間以上マウスピースを使用できない場合、歯が動かない可能性がある。装着時や食事時に痛みを伴う。歯肉退縮や虫歯になるおそれがある。また、指導通りに装着できていない場合や適切なブラッシングが出来ていないとそのリスクが高くなる。歯根が短くなることがある。ごくまれに歯の神経が損傷してしまうことがある。過去にぶつけたり深い虫歯治療をしたことがあるとそのリスクはやや高くなる。矯正後には保定装置が必要。適切な使用ができない場合、後戻りの原因となる。将来的に歯並びが動いて再矯正が必要な場合がある。親知らずが正常に生えていない場合、その可能性がやや高くなる。 |
※ 治療費は、治療当時の費用で、現在の費用と異なる可能性があります。現在の費用は治療費のページでご確認くださいませ。
34歳女性のビフォーアフター







| 診断 | 叢生(デコボコがある状態)、開咬、下顎前突 |
|---|---|
| 治療方針 | インビザラインシステムにて主にIPR(歯と歯の間をわずかに削合してスペースを獲得する方法)を組み込んだ動的矯正治療を行った叢生改善と、開咬の改善のため臼歯部圧下をメインとした動的治療を行い、保定を行う。 |
| 治療費 ※ | 99万7千円(診断、型取り、PMTC、保定装置を含む料金) |
| 治療期間 | 3年5か月 |
| リスク | 1日20時間以上マウスピースを使用できない場合、歯が動かない可能性がある。装着時や食事時に痛みを伴う。歯肉退縮や虫歯になるおそれがある。また、指導通りに装着できていない場合や適切なブラッシングが出来ていないとそのリスクが高くなる。歯根が短くなることがある。ごくまれに歯の神経が損傷してしまうことがある。過去にぶつけたり深い虫歯治療をしたことがあるとそのリスクはやや高くなる。矯正後には保定装置が必要。適切な使用ができない場合、後戻りの原因となる。将来的に歯並びが動いて再矯正が必要な場合がある。舌癖が強い場合や正常に生えていない親知らずがある場合、その可能性が高くなる。 |
※ 治療費は、治療当時の費用で、現在の費用と異なる可能性があります。現在の費用は治療費のページでご確認くださいませ。
33歳男性のビフォーアフター







| 診断 | 叢生(デコボコがある状態)、上顎前突、オーバージェット |
|---|---|
| 治療方針 | インビザラインシステムにて主にIPR(歯と歯の間をわずかに削合してスペースを獲得する方法)を組み込んだ動的矯正治療を行い、叢生を改善後、保定を行う。臼歯部の咬合関係はプランの関係上ある程度の所までとし、叢生と前歯部の咬合改善を目指した。 |
| 治療費 ※ | 68万8千円(診断、型取り、PMTC、保定装置を含む料金) |
| 治療期間 | 3年 |
| リスク | 1日20時間以上マウスピースを使用できない場合、歯が動かない可能性がある。装着時や食事時に痛みを伴う。歯肉退縮や虫歯になるおそれがある。また、指導通りに装着できていない場合や適切なブラッシングが出来ていないとそのリスクが高くなる。歯根が短くなることがある。ごくまれに歯の神経が損傷してしまうことがある。過去にぶつけたり深い虫歯治療をしたことがあるとそのリスクはやや高くなる。矯正後には保定装置が必要。適切な使用ができない場合、後戻りの原因となる。将来的に歯並びが動いて再矯正が必要な場合がある。親知らずが正常に生えていない場合、その可能性がやや高くなる。 |
※ 治療費は、治療当時の費用で、現在の費用と異なる可能性があります。現在の費用は治療費のページでご確認くださいませ。
29才女性のビフォーアフター







| 診断 | 叢生(デコボコがある状態)、下顎前突、前歯部交叉咬合 |
|---|---|
| 治療方針 | インビザラインシステムにて主にIPR(歯と歯の間をわずかに削合してスペースを獲得する方法)を組み込んだ動的矯正治療を行い、叢生を改善後、保定を行う。臼歯部の咬合関係はプランの関係上維持して叢生と前歯部の咬合改善を目指した。 |
| 治療費 ※ | 70万8千円(診断、型取り、PMTC、保定装置を含む料金) |
| 治療期間 | 2年4か月 |
| リスク | 1日20時間以上マウスピースを使用できない場合、歯が動かない可能性がある。装着時や食事時に痛みを伴う。歯肉退縮や虫歯になるおそれがある。また、指導通りに装着できていない場合や適切なブラッシングが出来ていないとそのリスクが高くなる。歯根が短くなることがある。ごくまれに歯の神経が損傷してしまうことがある。過去にぶつけたり深い虫歯治療をしたことがあるとそのリスクはやや高くなる。矯正後には保定装置が必要。適切な使用ができない場合、後戻りの原因となる。将来的に歯並びが動いて再矯正が必要な場合がある。親知らずが正常に生えていない場合、その可能性がやや高くなる。 |
※ 治療費は、治療当時の費用で、現在の費用と異なる可能性があります。現在の費用は治療費のページでご確認くださいませ。
22才女性のビフォーアフター







| 診断 | 叢生 |
|---|---|
| 治療方針 | インビザラインシステムにて主にIPRを組み込んだ動的矯正治療を行い、叢生を改善後、保定を行う。 |
| 治療費 ※ | 69万2千円(診断、型取り、矯正中のメンテナンス、保定装置を含む料金) |
| 治療期間 | 2年9か月 |
| リスク | 1日20時間以上マウスピースを使用できない場合、歯が動かなかったり、歯が想定より傾斜してしまう可能性がある。装着時や食事時に痛みを伴う。歯肉退縮や虫歯になるおそれがある。また、指導通りに装着できていない場合や適切なブラッシングが出来ていないとそのリスクが高くなる。歯根が短くなることがある。ごくまれに歯の神経が損傷してしまうことがある。過去にぶつけたり深い虫歯治療をしたことがあるとそのリスクはやや高くなる。矯正後には保定装置が必要。適切な使用ができない場合、後戻りの原因となる。将来的に歯並びが動いて再矯正が必要な場合がある。親知らずが正常に生えていない場合、その可能性がやや高くなる。 |
※ 治療費は、治療当時の費用で、現在の費用と異なる可能性があります。現在の費用は治療費のページでご確認くださいませ。
40代男性のビフォーアフター







| 診断 | 叢生、下顎前突、前歯交叉咬合 |
|---|---|
| 治療方針 | インビザラインシステムにて主にIPR(歯と歯の間をわずかに削合してスペースを獲得する方法)を組み込んだ動的矯正治療を行い、叢生を改善後、保定を行う。臼歯部の咬合関係は期間の限度があるため維持し、前歯の咬合関係改善と審美的改善を主な目的とした。 |
| 治療費 ※ | 65万8千円(診断、型取り、矯正中のメンテナンス、保定装置を含む料金) |
| 治療期間 | 1年8か月 |
| リスク | 1日20時間以上マウスピースを使用できない場合、歯が動かなかったり、想定しない誤差により不完全に終わる可能性がある。装着時や食事時に痛みを伴う。歯肉退縮や虫歯になるおそれがある。また、指導通りに装着できていない場合や適切なブラッシングが出来ていないとそのリスクが高くなる。歯根が短くなることがある。ごくまれに歯の神経が損傷してしまうことがある。過去にぶつけたり深い虫歯治療をしたことがあるとそのリスクはやや高くなる。矯正後には保定装置が必要。適切な使用ができない場合、後戻りの原因となる。将来的に歯並びが動いて再矯正が必要な場合がある。親知らずが正常に生えていない場合、その可能性がやや高くなる。 |
※ 治療費は、治療当時の費用で、現在の費用と異なる可能性があります。現在の費用は治療費のページでご確認くださいませ。
30代女性のビフォーアフター







| 診断 | 叢生、狭窄歯列、過蓋咬合 |
|---|---|
| 治療方針 | インビザラインシステムにて主にIPR(歯と歯の間をわずかに削合してスペースを獲得する方法)を組み込んだ動的矯正治療を行い、叢生を改善後、保定を行う。 |
| 治療費 ※ | 70万円(診断、型取り、矯正中のメンテナンス、保定装置を含む料金) |
| 治療期間 | 2年7か月 |
| リスク | 1日20時間以上マウスピースを使用できない場合、歯が動かない可能性がある。装着時や食事時に痛みを伴う。歯肉退縮や虫歯になるおそれがある。また、指導通りに装着できていない場合や適切なブラッシングが出来ていないとそのリスクが高くなる。歯根が短くなることがある。ごくまれに歯の神経が損傷してしまうことがある。過去にぶつけたり深い虫歯治療をしたことがあるとそのリスクはやや高くなる。矯正後には保定装置が必要。適切な使用ができない場合、後戻りの原因となる。将来的に歯並びが動いて再矯正が必要な場合がある。親知らずが正常に生えていない場合、その可能性がやや高くなる。 |
※ 治療費は、治療当時の費用で、現在の費用と異なる可能性があります。現在の費用は治療費のページでご確認くださいませ。
30代女性のビフォーアフター







| 診断 | 叢生、上顎前突、前歯交叉咬合 |
|---|---|
| 治療方針 | インビザラインシステムにて主に小臼歯抜歯を組み込んだ動的矯正治療を行い、叢生を改善後、保定を行う。 |
| 治療費 ※ | 69万6千円(診断、型取り、矯正中のメンテナンス、保定装置を含む料金) |
| 治療期間 | 2年11か月 |
| リスク | 食事時に痛みを伴う。歯肉退縮や虫歯になるおそれがある。また、指導通りに装着できていない場合や適切なブラッシングが出来ていないとそのリスクが高くなる。歯根が短くなることがある。ごくまれに歯の神経が損傷してしまうことがある。過去にぶつけたり深い虫歯治療をしたことがあるとそのリスクはやや高くなる。矯正後には保定装置が必要。適切な使用ができない場合、後戻りの原因となる。将来的に歯並びが動いて再矯正が必要な場合がある。親知らずが正常に生えていない場合、その可能性がやや高くなる。 |
※ 治療費は、治療当時の費用で、現在の費用と異なる可能性があります。現在の費用は治療費のページでご確認くださいませ。
20代男性のビフォーアフター







| 診断 | 叢生、前歯交叉咬合 |
|---|---|
| 治療方針 | インビザラインシステムにて主にIPR(歯と歯の間をわずかに削合してスペースを獲得する方法)を組み込んだ動的矯正治療を行い、叢生を改善後、保定を行う。 |
| 治療費 ※ | 67万6千円(診断、型取り、保定装置を含む料金) |
| 治療期間 | 2年1か月 |
| リスク | 1日20時間以上マウスピースを使用できない場合、歯が動かない可能性がある。装着時や食事時に痛みを伴う。歯肉退縮や虫歯になるおそれがある。また、指導通りに装着できていない場合や適切なブラッシングが出来ていないとそのリスクが高くなる。歯根が短くなることがある。ごくまれに歯の神経が損傷してしまうことがある。過去にぶつけたり深い虫歯治療をしたことがあるとそのリスクはやや高くなる。矯正後には保定装置が必要。適切な使用ができない場合、後戻りの原因となる。将来的に歯並びが動いて再矯正が必要な場合がある。親知らずが正常に生えていない場合、その可能性がやや高くなる。 |
※ 治療費は、治療当時の費用で、現在の費用と異なる可能性があります。現在の費用は治療費のページでご確認くださいませ。
27歳男性のビフォーアフター







| 診断 | 空隙、上顎前突(いわゆる出っ歯)、やや過蓋咬合 |
|---|---|
| 治療方針 | インビザラインシステムにて主にIPR(歯と歯の間をわずかに削合してスペースを獲得する方法)を組み込んだ動的矯正治療を行い、空隙を改善後、保定を行う。咬合関係は希望プラン上の限界があるため維持し、審美的改善を主な目的とした。 |
| 治療費 ※ | 74万6千円(診断、型取り、矯正中のメンテナンス、保定装置を含む料金) |
| 治療期間 | 2年2か月 |
| リスク | 1日20時間以上マウスピースを使用できない場合、歯が動かない可能性がある。装着時や食事時に痛みを伴う。歯肉退縮や虫歯になるおそれがある。また、指導通りに装着できていない場合や適切なブラッシングが出来ていないとそのリスクが高くなる。歯根が短くなることがある。ごくまれに歯の神経が損傷してしまうことがある。過去にぶつけたり深い虫歯治療をしたことがあるとそのリスクはやや高くなる。矯正後には保定装置が必要。適切な使用ができない場合、後戻りの原因となる。将来的に歯並びが動いて再矯正が必要な場合がある。親知らずが正常に生えていない場合、その可能性がやや高くなる。 |
※ 治療費は、治療当時の費用で、現在の費用と異なる可能性があります。現在の費用は治療費のページでご確認くださいませ。
33歳男性のビフォーアフター







| 診断 | 叢生(デコボコがある状態)、上顎前突(いわゆる出っ歯) |
|---|---|
| 治療方針 | インビザラインシステムにて主にIPR(歯と歯の間をわずかに削合してスペースを獲得する方法)を組み込んだ動的矯正治療を行い、叢生を改善後、保定を行う。咬合関係は枚数の限度があるため維持し、審美的改善を主な目的とした。また、歯石の付着や歯肉の発赤、歯肉退縮も見られたため、矯正中はやブラッシング指導も行った。 |
| 治療費 ※ | 75万8千円(診断、型取り、PMTC、保定装置を含む料金) |
| 治療期間 | 1年7か月 |
| リスク | 1日20時間以上マウスピースを使用できない場合、歯が動かない可能性がある。装着時や食事時に痛みを伴う。歯肉退縮や虫歯になるおそれがある。また、指導通りに装着できていない場合や適切なブラッシングが出来ていないとそのリスクが高くなる。歯根が短くなることがある。ごくまれに歯の神経が損傷してしまうことがある。過去にぶつけたり深い虫歯治療をしたことがあるとそのリスクはやや高くなる。矯正後には保定装置が必要。適切な使用ができない場合、後戻りの原因となる。将来的に歯並びが動いて再矯正が必要な場合がある。親知らずが正常に生えていない場合、その可能性がやや高くなる。 |
※ 治療費は、治療当時の費用で、現在の費用と異なる可能性があります。現在の費用は治療費のページでご確認くださいませ。
27歳女性のビフォーアフター







| 診断 | 叢生、前歯交叉咬合、クラスⅢ |
|---|---|
| 治療方針 | インビザラインシステムにて主にIPR(歯と歯の間をわずかに削合してスペースを獲得する方法)を組み込んだ動的矯正治療を行い、叢生を改善後、保定を行う。臼歯部の咬合関係は期間の限度があるため維持し、前歯の咬合関係改善と審美的改善を主な目的とした。 |
| 治療費 ※ | 69万2千円(診断、型取り、保定装置を含む料金) |
| 治療期間 | 2年3か月 |
| リスク | 1日20時間以上マウスピースを使用できない場合、歯が動かない可能性がある。装着時や食事時に痛みを伴う。歯肉退縮や虫歯になるおそれがある。また、指導通りに装着できていない場合や適切なブラッシングが出来ていないとそのリスクが高くなる。歯根が短くなることがある。ごくまれに歯の神経が損傷してしまうことがある。過去にぶつけたり深い虫歯治療をしたことがあるとそのリスクはやや高くなる。矯正後には保定装置が必要。適切な使用ができない場合、後戻りの原因となる。将来的に歯並びが動いて再矯正が必要な場合がある。親知らずが正常に生えていない場合、その可能性がやや高くなる。 |
※ 治療費は、治療当時の費用で、現在の費用と異なる可能性があります。現在の費用は治療費のページでご確認くださいませ。
32歳女性のビフォーアフター







| 診断 | 叢生、前歯交叉咬合、右クラスⅡ、左クラスⅢ |
|---|---|
| 治療方針 | インビザラインシステムにて主にIPR(歯と歯の間をわずかに削合してスペースを獲得する方法)を組み込んだ動的矯正治療を行い、叢生を改善後、保定を行う。咬合関係は枚数の限度があるため維持し、審美的改善を主な目的とした。 |
| 治療費 ※ | 57万8千円(診断、型取り、保定装置を含む料金) |
| 治療期間 | 1年2か月 |
| リスク | 1日20時間以上マウスピースを使用できない場合、歯が動かない可能性がある。装着時や食事時に痛みを伴う。歯肉退縮や虫歯になるおそれがある。また、指導通りに装着できていない場合や適切なブラッシングが出来ていないとそのリスクが高くなる。歯根が短くなることがある。ごくまれに歯の神経が損傷してしまうことがある。過去にぶつけたり深い虫歯治療をしたことがあるとそのリスクはやや高くなる。矯正後には保定装置が必要。適切な使用ができない場合、後戻りの原因となる。将来的に歯並びが動いて再矯正が必要な場合がある。親知らずが正常に生えていない場合、その可能性がやや高くなる。 |
※ 治療費は、治療当時の費用で、現在の費用と異なる可能性があります。現在の費用は治療費のページでご確認くださいませ。
38歳女性のビフォーアフター







| 診断 | 叢生(デコボコがある状態)、上顎前突(いわゆる出っ歯) |
|---|---|
| 治療方針 | インビザラインシステムにて主にIPR(歯と歯の間をわずかに削合してスペースを獲得する方法)を組み込んだ動的矯正治療を行い、叢生と口元の突出感を改善後、保定を行う。 |
| 治療費 ※ | 70万8千円(診断、型取り、PMTC、保定装置を含む料金) |
| 治療期間 | 2年4か月 |
| リスク | 1日20時間以上マウスピースを使用できない場合、歯が動かない可能性がある。装着時や食事時に痛みを伴う。歯肉退縮や虫歯になるおそれがある。また、指導通りに装着できていない場合や適切なブラッシングが出来ていないとそのリスクが高くなる。歯根が短くなることがある。ごくまれに歯の神経が損傷してしまうことがある。過去にぶつけたり深い虫歯治療をしたことがあるとそのリスクはやや高くなる。矯正後には保定装置が必要。適切な使用ができない場合、後戻りの原因となる。将来的に歯並びが動いて再矯正が必要な場合がある。親知らずが正常に生えていない場合、その可能性がやや高くなる。 |
※ 治療費は、治療当時の費用で、現在の費用と異なる可能性があります。現在の費用は治療費のページでご確認くださいませ。
20歳女性のビフォーアフター







| 診断 | 叢生、空隙、鋏上咬合、左クラスⅡ |
|---|---|
| 治療方針 | インビザラインシステムにて主にIPR(歯と歯の間をわずかに削合してスペースを獲得する方法)を組み込んだ動的矯正治療を行い、叢生を改善後、保定を行う。臼歯部の咬合関係は枚数の限度があるため鋏上咬合の改善と審美的改善を主な目的とした。 |
| 治療費 ※ | 71万8千円(診断、型取り、保定装置を含む料金) |
| 治療期間 | 1年8か月 |
| リスク | 1日20時間以上マウスピースを使用できない場合、歯が動かない可能性がある。装着時や食事時に痛みを伴う。歯肉退縮や虫歯になるおそれがある。また、指導通りに装着できていない場合や適切なブラッシングが出来ていないとそのリスクが高くなる。歯根が短くなることがある。ごくまれに歯の神経が損傷してしまうことがある。過去にぶつけたり深い虫歯治療をしたことがあるとそのリスクはやや高くなる。矯正後には保定装置が必要。適切な使用ができない場合、後戻りの原因となる。将来的に歯並びが動いて再矯正が必要な場合がある。親知らずが正常に生えていない場合、その可能性がやや高くなる。 |
※ 治療費は、治療当時の費用で、現在の費用と異なる可能性があります。現在の費用は治療費のページでご確認くださいませ。
35歳男性のビフォーアフター







| 診断 | 叢生、右クラスⅡ |
|---|---|
| 治療方針 | インビザラインシステムにて主にIPR(歯と歯の間をわずかに削合してスペースを獲得する方法)を組み込んだ動的矯正治療を行い、叢生を改善後、保定を行う。臼歯部の咬合関係は期間の限度があるため維持し、前歯の咬合関係改善と審美的改善を主な目的とした。 |
| 治療費 ※ | 69万円(診断、型取り、保定装置を含む料金) |
| 治療期間 | 2年3か月 |
| リスク | 1日20時間以上マウスピースを使用できない場合、歯が動かない可能性がある。装着時や食事時に痛みを伴う。歯肉退縮や虫歯になるおそれがある。また、指導通りに装着できていない場合や適切なブラッシングが出来ていないとそのリスクが高くなる。歯根が短くなることがある。ごくまれに歯の神経が損傷してしまうことがある。過去にぶつけたり深い虫歯治療をしたことがあるとそのリスクはやや高くなる。矯正後には保定装置が必要。適切な使用ができない場合、後戻りの原因となる。将来的に歯並びが動いて再矯正が必要な場合がある。親知らずが正常に生えていない場合、その可能性がやや高くなる。 |
※ 治療費は、治療当時の費用で、現在の費用と異なる可能性があります。現在の費用は治療費のページでご確認くださいませ。
35歳男性のビフォーアフター







| 診断 | 叢生、前歯交叉咬合、左クラスⅡ |
|---|---|
| 治療方針 | インビザラインシステムにて主にIPR(歯と歯の間をわずかに削合してスペースを獲得する方法)を組み込んだ動的矯正治療を行い、叢生を改善後、保定を行う。臼歯部の咬合関係は期間の限度があるため維持し、前歯の咬合関係改善と審美的改善を主な目的とした。 |
| 治療費 ※ | 67万円(診断、型取り、保定装置を含む料金) |
| 治療期間 | 1年2か月 |
| リスク | 1日20時間以上マウスピースを使用できない場合、歯が動かない可能性がある。装着時や食事時に痛みを伴う。歯肉退縮や虫歯になるおそれがある。また、指導通りに装着できていない場合や適切なブラッシングが出来ていないとそのリスクが高くなる。歯根が短くなることがある。ごくまれに歯の神経が損傷してしまうことがある。過去にぶつけたり深い虫歯治療をしたことがあるとそのリスクはやや高くなる。矯正後には保定装置が必要。適切な使用ができない場合、後戻りの原因となる。将来的に歯並びが動いて再矯正が必要な場合がある。親知らずが正常に生えていない場合、その可能性がやや高くなる。 |
※ 治療費は、治療当時の費用で、現在の費用と異なる可能性があります。現在の費用は治療費のページでご確認くださいませ。
30代女性のビフォーアフター







| 診断 | 叢生 |
|---|---|
| 治療方針 | インビザラインシステムにて主にIPR(歯と歯の間をわずかに削合してスペースを獲得する方法)を組み込んだ動的矯正治療を行い、叢生を改善後、保定を行う。 |
| 治療費 ※ | 68万2千円(診断、型取り、保定装置を含む料金) |
| 治療期間 | 1年9か月 |
| リスク | 1日20時間以上マウスピースを使用できない場合、歯が動かない可能性がある。装着時や食事時に痛みを伴う。歯肉退縮や虫歯になるおそれがある。また、指導通りに装着できていない場合や適切なブラッシングが出来ていないとそのリスクが高くなる。歯根が短くなることがある。ごくまれに歯の神経が損傷してしまうことがある。過去にぶつけたり深い虫歯治療をしたことがあるとそのリスクはやや高くなる。矯正後には保定装置が必要。適切な使用ができない場合、後戻りの原因となる。将来的に歯並びが動いて再矯正が必要な場合がある。親知らずが正常に生えていない場合、その可能性がやや高くなる。 |
※ 治療費は、治療当時の費用で、現在の費用と異なる可能性があります。現在の費用は治療費のページでご確認くださいませ。